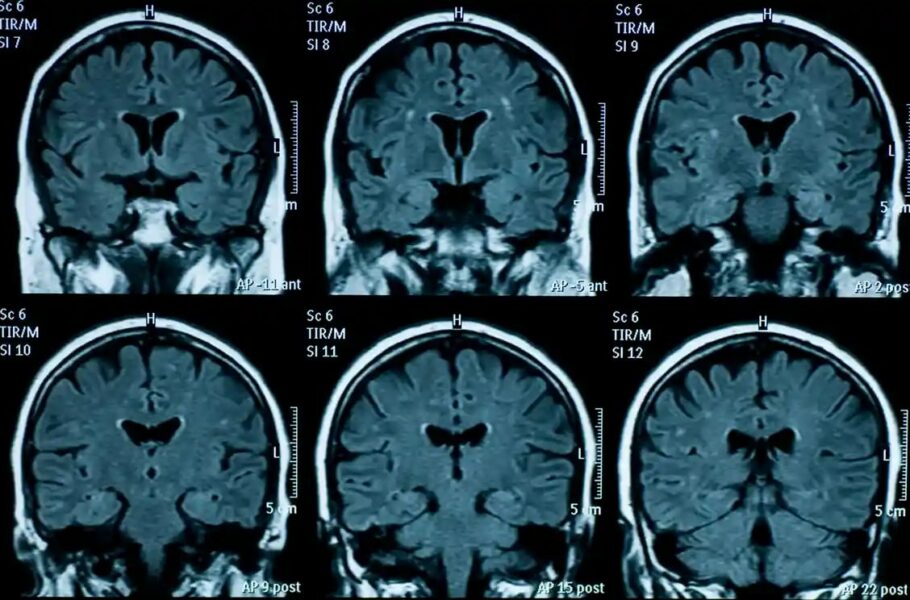
پژوهشی جدید: مغز نوجوانانی که در دوران قرنطینه کرونا زندگی کردهاند، سریعتر پیر میشود زمان انتشار: 4 دسامبر 2022 ساعت 7:04 دسته بندی: فناوری شناسه خبر: 80731 زمان مطالعه: 1 دقیقه پژوهشی جدید: مغز نوجوانانی که در دوران قرنطینه کرونا زندگی کردهاند، سریعتر پیر میشود حتما بخوانید : سامسونگ تا 2025 احراز هویت با اثر انگشت را 2.5 میلیارد برابر ایمنتر میکند مجله خبری gsxr