هفت نشانه پنهان تومور مغزی که ممکن است آنها را عادی بپندارید

هفت نشانه پنهان تومور مغزی که ممکن است آنها را عادی بپندارید
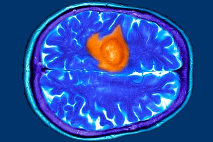
به گزارش gsxr و به نقل از ساینسآلرت، پژوهشهای اخیر نشان میدهد که بیماران و پزشکان عمومی در مراحل اولیه اغلب این نشانهها را نادیده میگیرند و همین امر باعث تأخیر در تشخیص میشود. از آنجا که درمان تومور مغزی در مراحل پیشرفته دشوارتر است، شناسایی علائم اولیه اهمیت ویژهای دارد.
تومور مغزی میتواند با علائمی مشابه بیماریهای رایج مانند اضطراب، عفونت سینوس یا یائسگی بروز کند. در پژوهشی که بر پایه مصاحبه با بیماران انجام شد، هفت علامت اصلی شایع اما فریبنده شناسایی شد. نخستین مورد، دشواری در یافتن کلمات است؛ برخی بیماران در صحبت کردن یا کامل کردن جمله دچار وقفه میشدند، موضوعی که ابتدا به استرس یا خستگی نسبت داده شد. دوم، مهذهنی یا Brain Fog است که با ناتوانی در تمرکز و فراموشی همراه میشود. اگر این حالت با مشکلات گفتاری یا بینایی همراه شود، نیاز به بررسی پزشکی دارد.
پنجم، بدخط شدن ناگهانی یا تغییر در هماهنگی حرکات ظریف است که میتواند نشانه آسیب در مراکز حرکتی مغز باشد. ششم، تغییرات شخصیتی یا رفتاری از جمله تحریکپذیری و بیانگیزگی است که ممکن است با فرسودگی شغلی اشتباه گرفته شود. و در نهایت، سردردهای مداوم و طولانیمدت که برخلاف سردردهای معمول، روزها یا هفتهها ادامه دارند و با مسکن کاهش نمییابند.
پژوهشگران در تلاش هستند ابزارهایی نوین برای تشخیص زودهنگام توسعه دهند، مانند آزمونهای شناختی برای بررسی حافظه و توجه یا «بیوپسی مایع» که تکههای DNA تومور را در خون شناسایی میکنند. هرچند اغلب این علائم دلایل دیگری دارند، اما اگر تغییرات مداوم و غیرعادی در بدن خود احساس میکنید، مراجعه به پزشک ضروری است. همانطور که بیماران تأکید داشتند، اگر چیزی «عادی» به نظر نمیرسد، بهتر است بررسی شود – حتی اگر در نهایت بیخطر باشد.





